Giai đoạn đóng khoảng trong niềng răng mất bao lâu?

Đóng khoảng là một trong những bước quan trọng nhất trong hành trình chỉnh nha, đóng vai trò then chốt trong việc điều chỉnh hàm răng đến vị trí lý tưởng. Vậy giai đoạn này diễn ra như thế nào? Bệnh nhân cần lưu ý gì để đảm bảo hiệu quả tối ưu? Cùng Nha khoa Quốc tế Việt Smile tìm hiểu sâu hơn.
Các giai đoạn niềng răng gồm những giai đoạn nào?
Niềng răng bao gồm 5 giai đoạn cơ bản, mỗi giai đoạn đóng vai trò riêng biệt nhưng đều hướng đến mục tiêu chung là mang lại hàm răng đều đẹp và khớp cắn hoàn chỉnh.

-
Giai đoạn dàn thẳng răng: Đây là bước khởi đầu trong quá trình niềng răng. Bác sĩ sẽ gắn mắc cài lên bề mặt răng và sử dụng lực để dịch chuyển răng về vị trí thẳng hàng. Giai đoạn này thường kéo dài từ 2 đến 4 tháng. Thời gian đầu, bệnh nhân có thể cảm thấy đau nhức hoặc khó chịu, nhưng cảm giác này sẽ giảm sau khoảng 3 đến 5 ngày.
-
Giai đoạn điều chỉnh chân răng: Trong giai đoạn này, lực kéo được tăng cường lên dây cung để tiếp tục điều chỉnh vị trí chân răng. Đây là bước giúp răng dịch chuyển chính xác hơn theo kế hoạch điều trị.
-
Giai đoạn đóng khoảng răng: Khi trục răng đã tương đối đều, bác sĩ sẽ tiến hành đóng khoảng. Giai đoạn này thường kéo dài từ 4 đến 8 tháng, tùy thuộc vào từng trường hợp cụ thể.
-
Giai đoạn đóng khớp cắn theo chiều đứng: Đây là bước quan trọng ảnh hưởng trực tiếp đến khả năng ăn nhai của bệnh nhân. Bác sĩ sẽ sử dụng thun móc giữa hàm trên và hàm dưới để điều chỉnh khớp cắn. Thời gian thực hiện kéo dài từ 2 đến 8 tuần.
-
Giai đoạn duy trì: Sau khi hoàn tất quá trình dịch chuyển, răng cần thời gian để ổn định tại vị trí mới. Bác sĩ sẽ chỉ định sử dụng hàm duy trì nhằm đảm bảo kết quả lâu dài và ngăn ngừa răng quay về vị trí cũ.
Giai đoạn đóng khoảng trong niềng răng là gì?
Giai đoạn đóng khoảng không chỉ là bước cần thiết để lấp đầy các khoảng trống trên cung hàm mà còn giúp đảm bảo sự cân đối và hài hòa cho hàm răng. Thông thường, khoảng trống này được tạo ra khi bác sĩ chỉ định nhổ răng để điều chỉnh tình trạng hô hoặc chen chúc.

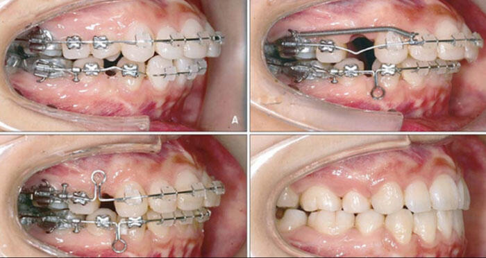
Quy trình đóng khoảng khi niềng răng
-
Kéo lùi các răng trước: Đối với răng hô hoặc chìa ra ngoài, bác sĩ sẽ kéo các răng trước lùi về sau để cân chỉnh khớp cắn và cải thiện thẩm mỹ. Phương pháp này sử dụng chun duỗi hoặc lò xo có hai móc. Thun chuỗi thường được thay sau mỗi 2-3 tuần, trong khi lò xo kéo thay sau 4-6 tuần.
-
Kéo các răng sau ra trước: Với tình trạng răng móm hoặc lệch khớp cắn, các răng sau sẽ được kéo ra phía trước để tạo sự cân đối. Kỹ thuật này ngược lại với việc kéo răng trước, đòi hỏi cố định khối răng phía trước và kéo từng răng sau ra trước.
-
Kết hợp cả hai phương pháp: Trong một số trường hợp phức tạp, bác sĩ có thể kết hợp cả hai phương pháp kéo răng trước ra sau và răng sau ra trước. Lò xo sẽ được sử dụng để tạo lực kéo phù hợp, giúp hàm răng khép kín hoàn toàn và đều đẹp.
Giai đoạn đóng khoảng đóng vai trò cốt lõi trong việc hoàn thiện hàm răng, không chỉ khắc phục các khoảng trống mà còn đảm bảo sự hài hòa tổng thể cho nụ cười của bạn. Việc tuân thủ chỉ dẫn của bác sĩ và tái khám định kỳ là chìa khóa để đạt được kết quả tối ưu.
Quá trình đóng khoảng răng mất bao lâu?
Thông thường, giai đoạn đóng khoảng răng kéo dài từ 6 đến 8 tháng. Tuy nhiên, thời gian cụ thể có thể thay đổi tùy thuộc vào nhiều yếu tố khác nhau, bởi không phải trường hợp nào cũng giống nhau. Dưới đây là những yếu tố có thể ảnh hưởng đến tốc độ đóng khoảng:
-
Tuổi tác: Ở người trưởng thành, xương hàm đã cứng cáp hơn, làm cho quá trình di chuyển răng chậm hơn so với trẻ nhỏ.
-
Chất lượng khí cụ: Các khí cụ niềng răng cần đảm bảo chất lượng cao để cung cấp lực kéo phù hợp. Nếu sử dụng khí cụ kém chất lượng, lực kéo sẽ không đủ mạnh, dẫn đến răng không di chuyển hiệu quả.
-
Phương pháp đóng khoảng: Mỗi phương pháp tạo lực kéo khác nhau sẽ dẫn đến sự chênh lệch về thời gian.
-
Vị trí răng cần lấp khoảng trống: Những răng có chân dài và sâu như răng nanh thường mất nhiều thời gian hơn để di chuyển so với các răng khác.
Những lưu ý trong quá trình đóng khoảng răng
Giai đoạn đóng khoảng thường mang lại một số khó chịu, đặc biệt trong những ngày đầu. Các triệu chứng phổ biến bao gồm: đau nhức, răng lung lay nhẹ, hoặc cảm giác khí cụ cọ xát vào má và môi. Dưới đây là các biện pháp hỗ trợ để giảm thiểu sự khó chịu và đảm bảo quá trình đóng khoảng diễn ra thuận lợi:

Giảm đau
-
Súc miệng bằng nước muối ấm: Sử dụng vào buổi sáng, tối hoặc bất cứ khi nào cảm thấy đau để làm dịu cơn nhức.
-
Chườm nóng/lạnh: Đặt chườm lên vùng đau giúp giảm nhanh cơn đau cục bộ và mang lại cảm giác dễ chịu hơn.
-
Dùng thuốc giảm đau: Tuyệt đối không tự ý sử dụng thuốc mà hãy tham khảo ý kiến bác sĩ hoặc nhân viên y tế trước khi dùng.
Chăm sóc răng miệng đúng cách
Trong giai đoạn này, lực kéo mạnh khiến răng trở nên nhạy cảm hơn, vì vậy cần vệ sinh răng miệng đúng cách để tránh các vấn đề như viêm nướu, sâu răng, hay viêm nha chu:
-
Sử dụng bàn chải lông mềm, đầu nhỏ để vệ sinh nhẹ nhàng.
-
Kết hợp dùng chỉ nha khoa, máy tăm nước và nước súc miệng để làm sạch sâu giữa các kẽ răng.
Chế độ ăn uống hợp lý
-
Hạn chế ăn thực phẩm cứng, dai để tránh làm rớt mắc cài hoặc gây tổn thương khí cụ.
-
Duy trì chế độ dinh dưỡng đầy đủ để hỗ trợ sức khỏe răng miệng và quá trình chỉnh nha.
Tái khám đúng lịch
Bác sĩ cần theo dõi sát sao quá trình đóng khoảng để kịp thời điều chỉnh nếu có sai lệch hoặc biến chứng như răng quặp, cười hở lợi. Vì vậy, việc tuân thủ lịch tái khám định kỳ là vô cùng quan trọng.
Thời gian đóng khoảng răng có thể thay đổi dựa trên các yếu tố cá nhân và cách chăm sóc răng miệng của bệnh nhân. Để quá trình niềng răng diễn ra thuận lợi và đạt kết quả tốt nhất, hãy vệ sinh răng miệng kỹ lưỡng, duy trì chế độ ăn uống phù hợp, và tái khám đúng lịch hẹn. Một nụ cười hoàn mỹ không chỉ là kết quả của phương pháp điều trị tiên tiến mà còn phụ thuộc vào sự hợp tác chặt chẽ giữa bác sĩ và bệnh nhân.
Nha khoa Quốc tế Việt Smile - Chất lượng tạo niềm tin
-
Địa chỉ: 04 Lê Lợi, Phường, Đồng Hới, Quảng Bình
-
Hotline: 0854 999 907 - 0705 585 999
-
Website: nhakhoaquoctevietsmile.com
- Facebook: Nha Khoa Quốc Tế Việt Smile
LƯU Ý: NHA KHOA QUỐC TẾ VIỆT SMILE CHỈ CÓ MỘT CƠ SỞ DUY NHẤT TẠI TỈNH QUẢNG BÌNH


















