Nguyên Nhân Và Cách Điều Trị Khi Răng Implant Bị Viêm Hiệu Quả

Răng Implant bị viêm là tình trạng viêm nhiễm tại vùng nướu xung quanh trụ Implant, khiến nướu sưng đỏ, dễ chảy máu và có thể xuất hiện mủ. Nếu không được xử lý kịp thời, viêm nhiễm có thể gây lung lay hoặc thậm chí đào thải trụ Implant khỏi xương hàm. Vậy nguyên nhân nào dẫn đến tình trạng răng implant bị viêm và làm sao để điều trị hiệu quả? Hãy cùng Nha khoa Quốc tế Việt Smile tìm hiểu trong bài viết dưới đây.
Răng Implant bị viêm là gì?
Răng Implant bị viêm xuất phát từ sự tích tụ vi khuẩn và mảng bám thức ăn không được làm sạch, tạo ra túi quanh trụ. Vi khuẩn từ túi này phát triển mạnh, gây viêm nhiễm và làm suy yếu mô xương nâng đỡ trụ Implant. Do khả năng liên kết của Implant với mô xung quanh kém hơn so với răng tự nhiên, quá trình phá hủy xương diễn ra nhanh hơn, làm tăng nguy cơ rụng trụ Implant.
Việc phát hiện và điều trị sớm tình trạng viêm nhiễm là vô cùng quan trọng để duy trì sự ổn định của răng Implant và sức khỏe răng miệng.

Nguyên nhân phổ biến dẫn đến răng Implant bị viêm?
Quá trình phục hình răng bằng phương pháp trồng Implant bao gồm tiểu phẫu cấy trụ Implant vào xương hàm, sau đó chờ từ 3 – 6 tháng để trụ tích hợp chắc chắn. Trong thời gian này, bệnh nhân không cần lưu trú tại nha khoa nhưng cần tái khám định kỳ sau 1 tuần, 1 tháng, 3 tháng,...
Khi trụ đã ổn định, bác sĩ sẽ gắn khớp nối Abutment và răng sứ lên trụ Implant, hoàn thiện chiếc răng mới. Tình trạng viêm quanh Implant có thể xảy ra sau 3 – 7 ngày hoặc trong khoảng 7 – 10 ngày sau khi hoàn thành phục hình. Một số nguyên nhân chính gây viêm quanh Implant bao gồm:
-
Vệ sinh răng miệng không đúng cách: Vệ sinh răng không đầy đủ hoặc không đúng kỹ thuật làm tăng nồng độ vi khuẩn trong khoang miệng, dẫn đến viêm nướu và viêm quanh Implant.
-
Lây nhiễm từ các bệnh lý răng miệng khác: Nếu trước khi cấy ghép, các bệnh lý như viêm nha chu, sâu răng, viêm nướu không được điều trị triệt để, vi khuẩn có thể xâm nhập vết thương cấy ghép và gây viêm nhiễm.
-
Chấn thương hoặc va đập: Tác động lực quá mạnh lên vùng cấy ghép do hoạt động mạnh hoặc thói quen đánh răng sai cách cũng có thể gây răng implant bị viêm.
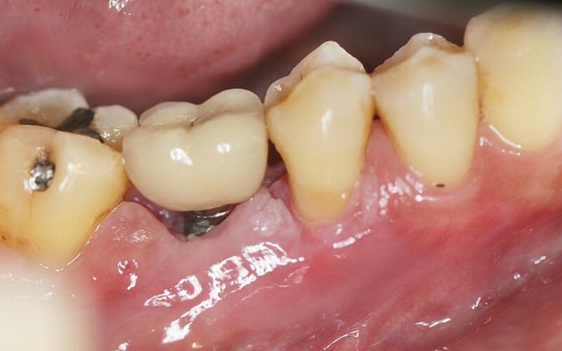
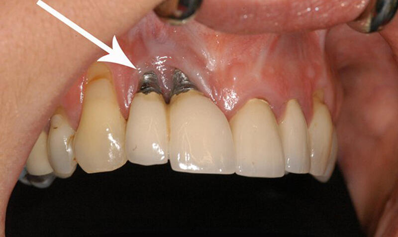
Những biểu hiện thường thấy ở răng implant bị viêm
Răng implant bị viêm là một biến chứng nghiêm trọng của viêm niêm mạc xung quanh Implant. Khi viêm niêm mạc xảy ra, nướu có thể bị đỏ nhưng không ảnh hưởng đến sự bám dính hay tiêu xương. Trong trường hợp này, bác sĩ chỉ cần loại bỏ mảng bám vi khuẩn. Tuy nhiên, đối với răng implant bị viêm, việc chẩn đoán sẽ dựa trên các dấu hiệu sau:

-
Sự thay đổi màu sắc và hiện tượng chảy máu ở nướu.
-
Đo độ sâu túi quanh trụ Implant.
-
Sự xuất hiện của mủ tại vùng răng.
-
Chụp X-quang để xác định mức tiêu xương và độ cao xương quanh trụ. Mức tiêu xương vượt ngưỡng cho phép (trên 1.5mm trong năm đầu tiên) là dấu hiệu cảnh báo.
Nếu sau khi cấy ghép, bạn phát hiện các triệu chứng như:
-
Nướu sưng, đỏ, dễ chảy máu.
-
Có mủ quanh trụ Implant.
-
Tụt nướu, trụ lung lay.
-
Hơi thở có mùi hôi kéo dài.
Hãy đến gặp bác sĩ ngay để được kiểm tra và điều trị kịp thời, tránh tình trạng tiêu xương xung quanh, gây lung lay hoặc rơi trụ Implant.
Phương pháp điều trị răng Implant bị viêm hiệu quả
Nguyên tắc điều trị
Phương pháp điều trị răng implant bị viêm phụ thuộc vào tình trạng cụ thể của từng bệnh nhân. Tuy nhiên, các nguyên tắc chính bao gồm:
-
Kiểm soát nhiễm trùng và ổ viêm xung quanh răng Implant.
-
Giảm độ sâu túi quanh Implant.
-
Tái tạo và ghép xương trong trường hợp mất xương nghiêm trọng.
Các phương pháp điều trị
Hiện nay, chưa có phương pháp tối ưu hoàn toàn cho viêm quanh Implant. Do đó, khi phát hiện viêm, bác sĩ thường kết hợp các phương pháp không phẫu thuật và phẫu thuật như sau:

- Điều trị không phẫu thuật:
Bước đầu, cần loại bỏ mảng bám và vi khuẩn để tạo điều kiện cho mô xung quanh hồi phục. Quy trình vệ sinh răng miệng đúng cách cũng rất quan trọng để ngăn ngừa tái phát. Nếu bệnh liên quan đến viêm nha chu, điều trị đồng thời là cần thiết. Các phương pháp gồm:
-
Lấy cao răng và làm sạch mảng bám để loại bỏ vi khuẩn.
-
Kháng sinh: Thường dùng Metronidazole và Spiramycin để kiểm soát nhiễm trùng.
-
Sát trùng tại chỗ: Sử dụng gạc bông ngâm Chlorhexidine và nước muối để sát trùng khu vực viêm, đặc biệt khi túi Implant sâu >5mm.
-
Điều trị Laser: Kích thích vết thương hồi phục nhanh và giảm sưng tấy.
-
Phẫu thuật điều trị viêm quanh Implant:
Khi viêm nặng, phẫu thuật nạo túi Implant và làm sạch bề mặt bằng chổi Titan, mũi khoan, hoặc laser là cần thiết. Có thể kết hợp ghép mô liên kết để hỗ trợ hồi phục. Nếu Implant tiêu hơn ½ chiều dài hoặc lung lay nghiêm trọng, cần tháo bỏ Implant và chờ vết thương lành trước khi đặt trụ mới.
Cách phòng ngừa viêm nhiễm sau khi cấy ghép Implant
Viêm nhiễm răng Implant thường xuất hiện trong giai đoạn hồi phục, gây khó khăn cho việc điều trị sau này. Do đó, việc phòng ngừa răng implant bị viêm là yếu tố quan trọng, ảnh hưởng trực tiếp đến sự thành công của quá trình cấy ghép.

Để ngăn ngừa răng implant bị viêm, bạn cần:
-
Lựa chọn các cơ sở nha khoa uy tín với đội ngũ bác sĩ có tay nghề cao.
-
Đánh răng ít nhất 2 lần mỗi ngày, sau bữa ăn và khi thức dậy.
-
Tránh sử dụng tăm xỉa răng, thay vào đó hãy sử dụng chỉ nha khoa, bàn chải kẽ, hoặc máy tăm nước để làm sạch kỹ lưỡng mảng bám quanh răng và các vị trí khó tiếp cận.
-
Sử dụng bàn chải lông mềm và chải với lực vừa phải để tránh làm tổn thương mô mềm, ngăn ngừa nguy cơ viêm nhiễm quanh răng Implant.
-
Tránh các chất kích thích như rượu, bia và thuốc lá trong suốt quá trình điều trị.
-
Tái khám định kỳ mỗi 4 tháng để bác sĩ loại bỏ mảng bám và phát hiện sớm các dấu hiệu viêm nhiễm quanh răng Implant để can thiệp kịp thời.
-
Kiểm soát tốt đường huyết và các bệnh lý khác liên quan đến sức khỏe tổng thể.
Răng implant bị viêm là tình trạng nghiêm trọng có thể ảnh hưởng đến kết quả cấy ghép nếu không được phát hiện và điều trị kịp thời. Để tránh các biến chứng nguy hiểm, việc chăm sóc đúng cách sau cấy ghép là rất quan trọng, bao gồm vệ sinh răng miệng kỹ lưỡng, tái khám định kỳ và kiểm soát tốt các yếu tố sức khỏe. Nếu bạn nhận thấy bất kỳ dấu hiệu bất thường nào như sưng đau, chảy máu, hãy đến ngay cơ sở nha khoa để được tư vấn và điều trị.
Tại Nha khoa Quốc tế Việt Smile, chúng tôi sở hữu đội ngũ bác sĩ chuyên môn cao và trang thiết bị hiện đại, đảm bảo quá trình cấy ghép Implant an toàn và hiệu quả. Hãy liên hệ ngay với chúng tôi để đặt lịch khám và được tư vấn chi tiết về cách bảo vệ răng Implant của bạn. Chăm sóc đúng cách từ đầu giúp răng Implant bền vững lâu dài.
Liên hệ ngay với Nha khoa Quốc tế Việt Smile để bảo vệ nụ cười của bạn!
Nha khoa Quốc tế Việt Smile - Chất lượng tạo niềm tin
-
Địa chỉ: 04 Lê Lợi, Phường, Đồng Hới, Quảng Bình
-
Hotline: 0854 999 907 - 0705 585 999
-
Website: nhakhoaquoctevietsmile.com
- Facebook: Nha Khoa Quốc Tế Việt Smile
LƯU Ý: NHA KHOA QUỐC TẾ VIỆT SMILE CHỈ CÓ MỘT CƠ SỞ DUY NHẤT TẠI TỈNH QUẢNG BÌNH


















