Răng như thế nào thì nên niềng? Và khi nào thì nên niềng răng

Răng như thế nào thì nên niềng? Đây là câu hỏi được rất nhiều người quan tâm khi tìm hiểu về các phương pháp chỉnh nha. Thực tế, tùy thuộc vào từng tình trạng răng cụ thể, bác sĩ sẽ đưa ra những chỉ định răng như thế nào thì nên niềng khác nhau. Để biết chính xác răng như thế nào thì nên niềng và liệu tình trạng răng của bạn có phù hợp để niềng răng hay không, hãy cùng Nha khoa Quốc tế Việt Smile khám phá chi tiết trong bài viết dưới đây.
Niềng răng là gì? Tác dụng của niềng răng và răng như thế nào thì nên niềng?
Niềng răng là một phương pháp chỉnh nha hiện đại, sử dụng hệ thống mắc cài, dây cung, hoặc khay niềng trong suốt để từng bước dịch chuyển răng về đúng vị trí trên cung hàm. Phương pháp này ngày càng được yêu thích bởi hiệu quả thẩm mỹ và chức năng mà nó mang lại, không ảnh hưởng đến sức khỏe, và đặc biệt là không cần phải mài răng. Vậy cụ thể, niềng răng có tác dụng gì và răng như thế nào thì nên niềng? Dưới đây là một số lợi ích nổi bật của phương pháp niềng răng:

Cải thiện chức năng ăn nhai khi răng gặp vấn đề
Một trong những lý do chính để xem xét răng như thế nào thì nên niềng là khi răng mọc sai lệch, hô, móm, hoặc khấp khểnh gây ra những khó khăn đáng kể trong quá trình ăn nhai. Tình trạng răng không đều không chỉ ảnh hưởng đến thẩm mỹ mà còn làm giảm hiệu quả nghiền nát thức ăn, gây áp lực lên hệ tiêu hóa và tăng nguy cơ mắc các bệnh lý răng miệng như viêm nướu và sâu răng.
Việc niềng răng giúp điều chỉnh răng về đúng vị trí, từ đó cải thiện chức năng ăn nhai một cách hiệu quả, đồng thời giảm thiểu các nguy cơ về sức khỏe răng miệng. Đây là một trong những trường hợp răng như thế nào thì nên niềng mà các chuyên gia khuyến cáo.
Phòng ngừa bệnh lý răng miệng từ sớm, đặc biệt ở trẻ em
Răng như thế nào thì nên niềng ở trẻ em cũng là một vấn đề được nhiều bậc phụ huynh quan tâm. Trong độ tuổi từ 10 - 18, trẻ em thường gặp các vấn đề về răng miệng do sự phát triển của răng và xương hàm.

Niềng răng trong giai đoạn này có thể tận dụng sự phát triển tự nhiên của xương hàm, giúp xương phát triển đúng hướng và thuận lợi hơn. Việc can thiệp sớm bằng niềng răng không chỉ giúp răng đều đẹp mà còn hạn chế tối đa khả năng phải phẫu thuật chỉnh nha trong tương lai. Đây là lý do tại sao việc nhận biết sớm răng như thế nào thì nên niềng ở trẻ em là vô cùng quan trọng.
Khắc phục các nhược điểm về phát âm, mang lại sự tự tin
Răng như thế nào thì nên niềng còn liên quan đến vấn đề phát âm. Răng mọc không đều, đặc biệt là tình trạng răng hô, móm hoặc răng cửa bị lệch lạc, có thể gây ra các vấn đề về phát âm như nói ngọng, nói lắp hoặc phát âm không rõ ràng.
Niềng răng có thể cải thiện đáng kể khả năng phát âm bằng cách đảm bảo răng mọc đều và đúng vị trí. Khi răng đều, luồng khí khi phát âm sẽ không bị cản trở, giúp âm thanh phát ra chuẩn xác và rõ ràng hơn. Việc cải thiện phát âm này không chỉ mang lại lợi ích về giao tiếp mà còn tăng cường sự tự tin cho người niềng răng trong công việc và cuộc sống hàng ngày.
Tạo thói quen vệ sinh răng miệng khoa học và kỹ lưỡng hơn
Mặc dù việc niềng răng có thể làm cho quá trình vệ sinh răng miệng trở nên phức tạp và đòi hỏi nhiều thời gian hơn, nhưng đây lại là một lợi ích gián tiếp quan trọng của việc chỉnh nha. Trong suốt quá trình niềng răng, bạn sẽ được hướng dẫn và khuyến khích dành thời gian quan tâm đến sức khỏe răng miệng một cách cẩn thận hơn.

Việc vệ sinh răng miệng kỹ lưỡng hàng ngày, kết hợp với các dụng cụ hỗ trợ như bàn chải kẽ răng, chỉ nha khoa, và nước súc miệng, sẽ giúp bạn hình thành thói quen vệ sinh răng miệng khoa học. Thói quen này không chỉ có lợi trong thời gian niềng răng mà còn duy trì sức khỏe răng miệng lâu dài sau khi quá trình chỉnh nha kết thúc. Đây cũng là một yếu tố quan trọng cần cân nhắc khi xem xét răng như thế nào thì nên niềng.
Vậy răng như thế nào thì nên niềng?
Vậy răng như thế nào thì nên niềng? Đây là câu hỏi quan trọng mà nhiều người đặt ra khi cân nhắc về việc niềng răng chỉnh nha. Thực tế, việc xác định răng như thế nào thì nên niềng phụ thuộc vào nhiều yếu tố, trong đó có tình trạng răng miệng cụ thể và mong muốn cải thiện của từng người.
Tuy nhiên, có một số trường hợp răng mà các bác sĩ nha khoa khuyên bạn nên niềng răng càng sớm càng tốt. Việc niềng răng kịp thời trong những trường hợp này không chỉ giúp bạn sở hữu nụ cười khỏe mạnh và hài hòa hơn, mà còn cải thiện chức năng ăn nhai và sức khỏe răng miệng tổng thể. Dưới đây là những trường hợp điển hình cho câu hỏi răng như thế nào thì nên niềng:
Răng hô - Dấu hiệu răng như thế nào thì nên niềng phổ biến
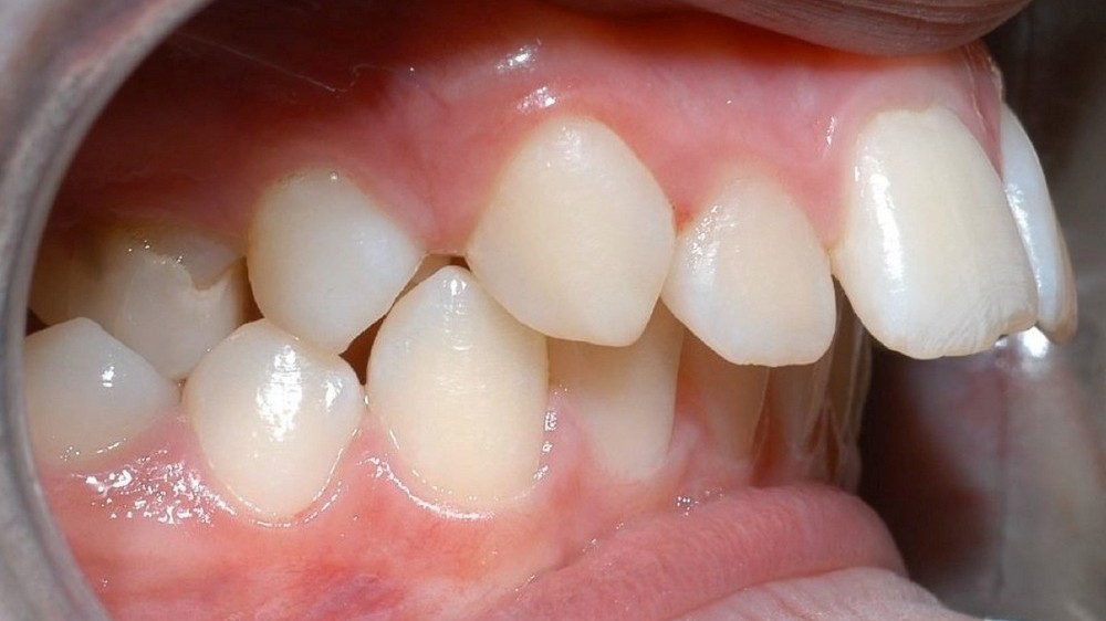
Răng hô, hay còn gọi là răng vẩu, là một trong những tình trạng răng như thế nào thì nên niềng thường gặp nhất. Tình trạng này xảy ra khi răng hàm trên bị chìa ra ngoài quá mức so với hàm dưới, không tương xứng với vị trí xương hàm và cấu trúc khuôn mặt. Điều này không chỉ ảnh hưởng đến thẩm mỹ, khiến môi bị nhô ra trước hoặc khó khép môi kín, mà còn có thể gây ra nhiều vấn đề khác.

Răng hô thường đi kèm với các tình trạng như cười hở lợi, hô một hàm (hô hàm trên hoặc hô hàm dưới), làm mất cân đối và hài hòa của khuôn mặt. Trong những trường hợp răng như thế nào thì nên niềng như răng hô, niềng răng là giải pháp hiệu quả để cải thiện cả thẩm mỹ và chức năng.
Răng móm (khớp cắn ngược) - Trường hợp răng như thế nào thì nên niềng cần can thiệp sớm
Răng móm, hay còn gọi là khớp cắn ngược, là một dạng sai lệch khớp cắn nghiêm trọng và cũng là một ví dụ điển hình cho răng như thế nào thì nên niềng sớm. Biểu hiện rõ ràng của răng móm là răng hàm dưới chìa ra ngoài quá nhiều so với răng hàm trên, hoặc khi ngậm miệng lại, răng hàm dưới bao phủ hoàn toàn răng hàm trên. Nguyên nhân gây móm có thể xuất phát từ răng hoặc xương hàm.

Đối với trường hợp răng móm do răng, niềng răng thường là phương pháp điều trị hiệu quả. Tuy nhiên, nếu nguyên nhân móm là do xương hàm phát triển quá mức, phẫu thuật chỉnh hình xương hàm có thể là cần thiết. Trong một số trường hợp phức tạp, răng móm do cả răng và xương, việc kết hợp cả niềng răng và phẫu thuật sẽ mang lại hiệu quả chỉnh nha tối ưu nhất. Vì vậy, khi nhận thấy dấu hiệu răng như thế nào thì nên niềng như răng móm, bạn nên thăm khám nha khoa để được tư vấn phương pháp điều trị phù hợp.
Răng thưa - Giải pháp cho răng như thế nào thì nên niềng để thẩm mỹ hơn
Răng thưa là tình trạng xuất hiện các khe hở giữa các răng, đặc biệt là răng cửa, gây mất thẩm mỹ cho nụ cười. Đây cũng là một trong những tình trạng răng như thế nào thì nên niềng để cải thiện vẻ đẹp tự tin. Nguyên nhân dẫn đến răng thưa có thể do nhiều yếu tố như mất răng (mà không trồng lại răng kịp thời), thiếu răng bẩm sinh, răng có hình dạng nhỏ bất thường (răng dị dạng), hoặc do các thói quen xấu thời thơ ấu.

Để khắc phục tình trạng răng thưa, có hai phương pháp phổ biến là niềng răng và bọc răng sứ. Niềng răng sẽ giúp dịch chuyển các răng lại gần nhau, đóng kín khoảng trống, trong khi bọc răng sứ sẽ tạo hình răng to hơn để che lấp khe thưa. Lựa chọn phương pháp nào sẽ phụ thuộc vào mức độ thưa răng, tình trạng răng miệng tổng thể và mong muốn của bệnh nhân, nhưng trong nhiều trường hợp răng như thế nào thì nên niềng như răng thưa, niềng răng vẫn là lựa chọn ưu tiên để bảo tồn răng thật tối đa.
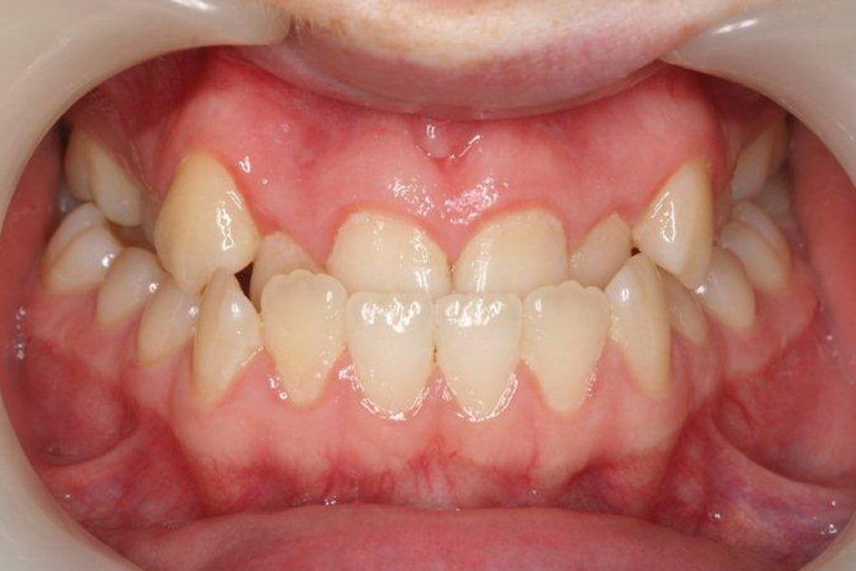
Răng lệch lạc, khấp khểnh - Răng như thế nào thì nên niềng để cải thiện chức năng và thẩm mỹ
Răng lệch lạc, mọc chen chúc, khấp khểnh, lộn xộn trên cung hàm không chỉ gây mất thẩm mỹ mà còn ảnh hưởng đến chức năng ăn nhai và vệ sinh răng miệng hàng ngày. Đây cũng là một trong những trường hợp răng như thế nào thì nên niềng để đảm bảo sức khỏe răng miệng lâu dài.

Nguyên nhân của tình trạng răng lệch lạc có thể do mất răng sữa quá sớm (khiến răng vĩnh viễn mọc sai vị trí), kích thước răng và xương hàm không hài hòa (răng quá to so với cung hàm), hoặc răng mọc ngầm, mọc kẹt, không đúng hướng. Niềng răng chỉnh nha là phương pháp được áp dụng phổ biến và hiệu quả nhất để sắp xếp lại răng lệch lạc về đúng vị trí trên cung hàm, giúp răng đều đặn, thẳng hàng, cải thiện cả thẩm mỹ và chức năng.
Sai lệch khớp cắn - Răng như thế nào thì nên niềng để có khớp cắn chuẩn
Sai lệch khớp cắn là một vấn đề răng miệng phức tạp, bao gồm nhiều dạng khác nhau như khớp cắn ngược (đã đề cập ở trên - răng móm), khớp cắn hở (răng cửa hàm trên và hàm dưới không chạm nhau khi ngậm miệng), khớp cắn đối đầu (răng cửa hai hàm chạm nhau ở rìa cắn), khớp cắn sâu (răng hàm trên che phủ quá nhiều răng hàm dưới).

Những tình trạng sai lệch khớp cắn này không chỉ ảnh hưởng đến thẩm mỹ khuôn mặt mà còn liên quan mật thiết đến khả năng ăn nhai (nghiền nát thức ăn kém hiệu quả, gây khó tiêu, đau khớp thái dương hàm) và khả năng phát âm (nói ngọng, nói lắp). Do đó, niềng răng là giải pháp quan trọng để khắc phục các dạng sai lệch khớp cắn, giúp bạn có một khớp cắn chuẩn, cân đối, cải thiện chức năng ăn nhai, phát âm và bảo vệ sức khỏe răng miệng toàn diện. Đây là lý do tại sao việc nhận biết sớm các dấu hiệu răng như thế nào thì nên niềng do sai lệch khớp cắn là rất quan trọng.
Trên đây là những thông tin chi tiết giúp bạn giải đáp thắc mắc răng như thế nào thì nên niềng. Nếu bạn vẫn còn bất kỳ câu hỏi nào liên quan đến niềng răng, hoặc đang có nhu cầu niềng răng tại Quảng Bình, đừng ngần ngại liên hệ ngay đến HOTLINE Nha khoa Quốc tế Việt Smile hoặc đến trực tiếp phòng khám để được các bác sĩ chuyên gia thăm khám, tư vấn hoàn toàn miễn phí và xác định chính xác tình trạng răng như thế nào thì nên niềng của bạn.
Nha khoa Quốc tế Việt Smile - Chất lượng tạo niềm tin
-
Địa chỉ: 04 Lê Lợi, Phường, Đồng Hới, Quảng Bình
-
Hotline: 0854 999 907 - 0705 585 999
-
Website: nhakhoaquoctevietsmile.com
- Facebook: Nha Khoa Quốc Tế Việt Smile
LƯU Ý: NHA KHOA QUỐC TẾ VIỆT SMILE CHỈ CÓ MỘT CƠ SỞ DUY NHẤT TẠI TỈNH QUẢNG BÌNH


















