Bọc Răng Sứ Bị Tụt Lợi Do Đâu? Cách Khắc Phục

Bọc răng sứ bị tụt lợi có thể do kỹ thuật mài răng, lấy dấu răng, làm răng sứ không chuẩn hoặc răng sứ kém chất lượng, gây hở cùi răng, viêm nhiễm và mô nướu bị mất. Để khắc phục, bạn cần đến nha khoa để bác sĩ kiểm tra, tháo răng sứ cũ, điều trị bệnh lý (nếu có), lấy dấu răng và làm răng sứ mới.
1. Bọc răng sứ có bị tụt nướu không?
Bọc răng sứ là giải pháp thẩm mỹ nha khoa hiệu quả và an toàn. Tình trạng bọc răng sứ bị tụt lợi hoàn toàn không xảy ra nếu được thực hiện tại nha khoa uy tín, bác sĩ có nhiều kinh nghiệm, tuân thủ đúng quy trình kỹ thuật và thực hiện chế độ chăm sóc đúng cách sau khi phục hình.

2. Nguyên nhân khiến bọc răng sứ bị tụt lợi
Các hiệp hội nha khoa uy tín trên thế giới đều coi bọc răng sứ là một kỹ thuật phục hình răng phổ biến và an toàn với điều kiện được thực hiện bởi nha sĩ có chuyên môn và bệnh nhân tuân thủ đúng các chỉ định. Tuy nhiên, một số trường hợp gặp phải vấn đề bọc răng sứ bị tụt lợi là do:
2.1. Kỹ thuật lấy dấu răng không chính xác
Kỹ thuật lấy dấu răng không chính xác là nguyên nhân hàng đầu dẫn đến việc bọc răng sứ bị tụt lợi. Nhiều bác sĩ sử dụng dụng cụ lấy dấu không chuyên dụng, dẫn đến xảy ra sai số và làm ảnh hưởng đến việc chế tác răng sứ. Một khi dấu răng được lấy không chuẩn, răng sứ sẽ không khít sát với cùi răng, làm xuất hiện khe hở dưới chân răng. Sau thời gian, tình trạng này sẽ dẫn đến tụt nướu.
2.2. Bác sĩ thực hiện sai kỹ thuật
Bác sĩ tay nghề còn non kém, chưa có nhiều kinh nghiệm dễ dẫn tới mài răng sai tỷ lệ và lắp mão sứ không sát khít với cùi răng. Điều này tạo ra khe hở khiến thức ăn dễ mắc kẹt lại và hình thành vôi răng là ổ chứa vi khuẩn có hại. Lâu ngày, ổ vi khuẩn này phát triển mạnh, gây ra viêm nhiễm, hôi miệng và làm bọc răng sứ bị tụt lợi.
2.3. Thiết bị nha khoa lạc hậu
Bọc răng sứ yêu cầu nha khoa phải có thiết bị và công nghệ hiện đại để đảm bảo tính chính xác. Việc nha khoa không có công nghệ cùng những máy móc hiện đại sẽ dẫn tới quá trình lấy dấu và chế tác mão sứ bị sai lệch. Kết quả là mão sứ không tương xứng với cùi răng, không sát khít nướu và từ đó gây ra những biến chứng sau khi bọc, trong đó có tụt lợi.
2.4. Chất liệu sứ có chất lượng kém
Các loại răng sứ không chính hãng, không rõ nguồn gốc thường có chất lượng kém. Nếu sử dụng để bọc sứ dễ gây nên tình trạng kích ứng, viêm nhiễm. Đồng thời đây cũng là nguyên nhân khiến bọc răng sứ bị tụt lợi.

2.5. Chưa điều trị triệt để bệnh lý răng miệng
Ở một số nha khoa, bác sĩ không kiểm tra kỹ lưỡng hoặc không phát hiện ra bệnh do thiếu kinh nghiệm. Điều này sẽ dẫn tới chưa điều trị triệt để các bệnh lý mà tiến hành bọc sứ, tăng nguy cơ mắc viêm lợi, tụt nướu.
2.6. Chăm sóc răng miệng không đúng cách sau khi bọc sứ
Sử dụng bàn chải cứng, chải răng theo chiều ngang hoặc chải với lực mạnh… là những lỗi sai mà nhiều người thường mắc phải khi vệ sinh răng. Đây là một trong các nguyên nhân gây tổn thương lợi, làm bọc răng sứ bị tụt lợi và hở chân răng.
3. Bọc răng sứ bị tụt lợi gây ra tác hại gì?
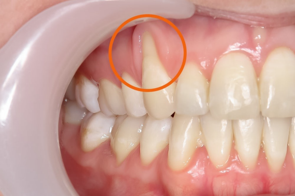
Tình trạng bọc răng sứ bị tụt lợi rất dễ nhận thấy bằng mắt thường, biểu hiện rõ nhất là chân răng bị lộ ra ngoài do lợi co lại hoặc lợi có xu hướng dịch chuyển về phía chóp răng, kèm theo đó là các triệu chứng sưng đỏ, đau nhức, chảy máu chân răng…
![Thắc mắc] Tụt lợi có nên bọc răng sứ hay không?](/uploads/images/2025/12/boc-rang-su-bi-tut-loi-do-dau-cach-khac-phuc3.png)
Biến chứng tụt nướu sau khi làm răng sứ nếu không được điều trị kịp thời có thể dẫn tới những ảnh hưởng xấu sau đây:
-
Tụt nướu làm hở chân răng, khiến cho phần mô quanh chân răng mất đi và lộ ra ngà răng. Lúc này, răng sẽ rất nhạy cảm, dễ bị ê buốt, đau nhức khi chải răng hoặc ăn đồ nóng, lạnh.
-
Khi bị tụt nướu, cùi răng hở ra ngoài và tiếp xúc trực tiếp với môi trường khoang miệng cùng vi khuẩn, nên dễ bị mục răng.
-
Thức ăn mắc vào kẽ hở giữa chân răng và mão sứ, khó để vệ sinh sạch sẽ. Lâu ngày hình thành nên nhiều mảng bám, đây là môi trường cho vi khuẩn có hại phát triển và tấn công răng. Dẫn tới nhiều bệnh lý như hôi miệng, sâu răng, viêm nướu, viêm nha chu…
-
Tổn hại nghiêm trọng các mô lợi và cấu trúc xương xung quanh răng. Ảnh hưởng đến khả năng nâng đỡ răng, làm cho răng dễ lung lay, gãy rụng.
-
Khả năng cắn xé thức ăn bị giảm sút, phải hạn chế nhiều món ăn và mất đi cảm giác ngon miệng.
-
Ảnh hưởng lớn đến thẩm mỹ khuôn mặt, khiến nụ cười kém duyên hơn.
Để ngăn chặn các biến chứng nguy hiểm trên, thì khi thấy bọc răng sứ bị tụt lợi, hở chân răng, bạn cần đến nha khoa điều trị càng sớm càng tốt.
4. Cách khắc phục tình trạng bọc răng sứ bị tụt lợi
Khi xảy ra tình trạng bọc răng sứ bị tụt lợi, bạn hoàn toàn không thể xử lý tại nhà, mà cần đến thăm khám ngay tại các nha khoa uy tín để bác sĩ có chuyên môn và kinh nghiệm xử lý.
Dựa trên nguyên nhân gây tụt nướu, bác sĩ sẽ chỉ định giải pháp điều trị phù hợp:
-
Nếu tụt nướu do bác sĩ thực hiện sai kỹ thuật hoặc chế tác mão sứ không đúng kích thước, thì bác sĩ sẽ tiến hành tháo bỏ mão sứ cũ. Sau đó, bác sĩ sẽ vệ sinh sạch sẽ, lấy lại dấu hàm để thiết kế mão sứ mới khớp với cùi răng.
-
Nếu nguyên nhân gây tụt nướu do chưa trị dứt điểm các bệnh lý răng miệng như sâu răng, viêm nướu thì bác sĩ sẽ tháo mão sứ ra để điều trị cho khỏi hẳn trước. Sau đó, bác sĩ bọc lại răng sứ cũ hoặc làm lại răng sứ mới cho đúng kích thước.
-
Nếu bọc răng sứ bị tụt lợi do sử dụng răng sứ kém chất lượng, thì bắt buộc phải tháo bỏ răng sứ cũ và thay thế bằng loại mới có chất lượng tốt hơn. Điển hình là răng toàn sứ.
Ngoài ra, sau khi điều trị, để hạn chế tình trạng răng sứ bị tụt nướu xảy ra lần nữa thì bạn cũng cần lưu ý về cách chăm sóc sau:
-
Đánh răng 2 lần/ngày bằng bàn chải lông mềm.
-
Chải răng nhẹ nhàng theo chiều dọc hoặc chuyển động tròn.
-
Sử dụng thêm chỉ nha khoa và nước súc miệng để làm sạch thức ăn thừa.
-
Thăm khám răng định kỳ 6 tháng/lần để bác sĩ kiểm tra chất lượng răng sứ và điều trị bệnh lý nếu xảy ra.
Nha khoa Quốc tế Việt Smile - Chất lượng tạo niềm tin
-
Địa chỉ: 04 Lê Lợi, Phường, Đồng Hới, Quảng Bình
-
Hotline: 0854 999 907 - 0705 585 999
-
Website: nhakhoaquoctevietsmile.com
- Facebook: Nha Khoa Quốc Tế Việt Smile
LƯU Ý: NHA KHOA QUỐC TẾ VIỆT SMILE CHỈ CÓ MỘT CƠ SỞ DUY NHẤT TẠI TỈNH QUẢNG BÌNH


















