Các Dấu Hiệu Răng Sứ Bị Hở Và Cách Khắc Phục Triệt Để

Bọc răng sứ là một phương pháp phục hình thẩm mỹ tuyệt vời, giúp mang lại hàm răng đều đẹp, trắng sáng và nụ cười tự tin. Tuy nhiên, sau một thời gian sử dụng, không ít trường hợp gặp phải tình trạng răng sứ không còn khít sát với nướu. Việc nhận biết sớm các dấu hiệu răng sứ bị hở là vô cùng quan trọng để bảo vệ sức khỏe răng thật và tránh những biến chứng nguy hiểm.
Tại Nha khoa Quốc tế Việt Smile, chúng tôi thường xuyên tiếp nhận và xử lý các ca phục hình răng sứ hỏng từ nơi khác chuyển đến. Bài viết này sẽ cung cấp cho bạn cái nhìn chi tiết nhất về tình trạng này.
1. Dấu hiệu răng sứ bị hở thường gặp nhất
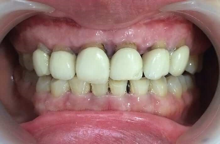
Tình trạng răng sứ bị hở (hay còn gọi là hở cổ chân răng sứ) xảy ra khi có khoảng trống giữa mão sứ và nướu hoặc cùi răng thật. Bạn có thể tự kiểm tra tại nhà thông qua các dấu hiệu răng sứ bị hở điển hình sau:
-
Nướu tụt dần, làm lộ cùi răng: Quan sát bằng mắt thường thấy phần nướu không còn ôm sát vào răng, để lộ một phần cùi răng thật hoặc viền kim loại bên dưới.
-
Xuất hiện vệt đen mờ quanh chân răng: Đặc biệt phổ biến ở răng sứ kim loại, nhưng khi bị hở, ngay cả răng toàn sứ cũng có thể thấy vùng viền nướu tối màu do tích tụ mảng bám.
-
Cảm giác cộm cấn và lỏng lẻo: Khi ăn nhai, bạn cảm thấy răng sứ không chắc chắn, có sự di động nhẹ hoặc cộm cấn khi hai hàm chạm nhau.
-
Thức ăn hay bị mắc kẹt: Đây là dấu hiệu cực kỳ phổ biến. Do có khe hở, vụn thức ăn dễ dàng lọt vào và rất khó làm sạch bằng cách đánh răng thông thường.
- Hôi miệng dai dẳng: Thức ăn giắt lâu ngày bị phân hủy bởi vi khuẩn trong khe hở tạo ra mùi hôi khó chịu, dù bạn đã vệ sinh răng miệng kỹ.

1.1. Xuất hiện khe hở giữa răng sứ và nướu
Biểu hiện điển hình của dấu hiệu răng sứ bị hở là có một khe hở rõ rệt ở vùng tiếp giáp nướu. Khi bạn dùng lưỡi rà soát, sẽ cảm thấy một rãnh nhỏ thay vì bề mặt trơn láng. Khe hở này chính là "cửa ngõ" để vi khuẩn tấn công trực tiếp vào cùi răng thật bên trong, gây sâu răng và viêm nhiễm tủy.
1.2. Tụt nướu làm lộ cùi răng bên trong
Nếu kỹ thuật bọc sứ ban đầu không chuẩn hoặc do nướu bị kích ứng với chất liệu sứ kém chất lượng, mô nướu sẽ có xu hướng co lại và tụt xuống. Tình trạng tụt nướu không chỉ là dấu hiệu răng sứ bị hở mà còn làm mất đi hàng rào bảo vệ tự nhiên của răng, khiến cùi răng thật dễ bị mài mòn và nhạy cảm hơn.
1.3. Cảm giác ê buốt và đau nhức kéo dài
Khi răng sứ bị hở, lớp men răng thật (vốn đã được mài mỏng để làm cùi) sẽ tiếp xúc trực tiếp với nhiệt độ của thực phẩm. Bạn sẽ cảm thấy ê buốt lạnh sống lưng khi uống nước đá hoặc đau nhói khi ăn đồ nóng. Nếu tình trạng đau nhức diễn ra liên tục, rất có thể vi khuẩn đã xâm nhập và gây viêm tủy.
2. Tại sao răng sứ bị hở? Phân tích nguyên nhân chuyên sâu
Theo các chuyên gia tại Nha khoa Quốc tế Việt Smile, có nhiều nguyên nhân dẫn đến việc xuất hiện các dấu hiệu răng sứ bị hở, bao gồm cả yếu tố kỹ thuật và cách chăm sóc:
-
Bác sĩ mài răng không chuẩn xác: Nếu mài quá ít, mão sứ sẽ không có đủ không gian để lắp vào, gây cộm và hở. Nếu mài quá nhiều, cùi răng yếu đi và nướu bị xâm lấn dẫn đến tụt lợi.
-
Lấy dấu hàm và chế tác sai lệch: Nếu quá trình lấy dấu bằng silicon truyền thống không chính xác hoặc kỹ thuật viên Labo chế tác mão sứ không khít sát, chắc chắn sẽ tạo ra khe hở khi lắp răng vĩnh viễn.
-
Chất lượng răng sứ kém: Răng sứ không rõ nguồn gốc thường chứa nhiều tạp chất, gây kích ứng nướu, dẫn đến viêm lợi và tụt nướu nhanh chóng.
-
Keo dán nha khoa bị thoái hóa: Theo thời gian, lớp xi măng gắn răng có thể bị mòn hoặc bong tróc do lực nhai mạnh hoặc axit trong nước bọt, làm mão sứ bị lỏng lẻo và hở chân.
-
Vệ sinh răng miệng sai cách: Chải răng quá mạnh theo chiều ngang hoặc sử dụng bàn chải quá cứng làm tổn thương nướu, khiến nướu bị mòn và tụt dần khỏi chân răng sứ.

3. Tác hại khôn lường khi bỏ qua các dấu hiệu răng sứ bị hở
Nhiều người thường chủ quan khi thấy răng sứ bị hở nhẹ. Tuy nhiên, nếu không được khắc phục sớm tại địa chỉ uy tín như Nha khoa Quốc tế Việt Smile, bạn sẽ phải đối mặt với:
-
Sâu răng trụ: Vi khuẩn tích tụ trong khe hở tấn công cùi răng thật. Vì cùi răng đã mất đi lớp men bảo vệ nên quá trình sâu răng diễn ra rất nhanh.
-
Viêm tủy và hỏng răng thật: Sâu răng lâu ngày dẫn đến viêm tủy. Nhiều trường hợp khi tháo sứ ra, cùi răng thật đã bị mục nát, buộc phải nhổ bỏ và trồng răng Implant tốn kém hơn.
-
Viêm nha chu và mất xương: Viêm nhiễm tại vùng nướu bị hở có thể lan sâu xuống xương hàm, gây tiêu xương và làm các răng lân cận bị lung lay.
-
Mất thẩm mỹ trầm trọng: Khe hở đen ngòm ở viền nướu khiến nụ cười trở nên kém duyên, gây mất tự tin trong giao tiếp hàng ngày.
4. Giải pháp khắc phục tại Nha khoa Quốc tế Việt Smile
Khi phát hiện bất kỳ dấu hiệu răng sứ bị hở nào, việc đầu tiên bạn cần làm là đến nha khoa để bác sĩ kiểm tra. Tùy vào mức độ, bác sĩ sẽ có hướng xử lý:
-
Gắn lại mão sứ: Nếu mão sứ vẫn còn tốt và khít sát nhưng chỉ bị lỏng do bong keo, bác sĩ sẽ vệ sinh sạch sẽ và gắn lại bằng xi măng chuyên dụng.
-
Làm lại răng sứ mới: Đây là giải pháp phổ biến nhất. Bác sĩ sẽ tháo bỏ mão sứ cũ, xử lý lại cùi răng (nếu cần), lấy dấu hàm công nghệ 3D và chế tác mão sứ mới đạt độ chính xác tuyệt đối.
-
Điều trị bệnh lý: Nếu đã có tình trạng viêm tủy hoặc viêm nướu, bác sĩ sẽ ưu tiên điều trị dứt điểm các bệnh lý này trước khi phục hình lại răng sứ mới.
Đừng để răng sứ bị hở ảnh hưởng đến sức khỏe của bạn! Hãy liên hệ ngay Hotline: 0854 999 907 - 0705 585 999 để được các chuyên gia tại Việt Smile thăm khám và tư vấn giải pháp tối ưu nhất.

5. Bảng giá tham khảo dịch vụ răng sứ
Dưới đây là thông tin về các dòng răng toàn sứ cao cấp để bạn tham khảo khi cần làm lại răng sứ bị hở. Lưu ý: Đây chỉ là bảng giá tham khảo, để biết chính xác giá tại thời điểm hiện tại và các chương trình ưu đãi, hãy liên hệ đến Hotline 0854 999 907 hoặc 0705 585 999 để được tư vấn chi tiết hơn về dịch vụ.
|
Loại răng sứ |
Ưu điểm nổi bật |
Giá tham khảo (VNĐ/răng) |
|
Răng sứ Zirconia |
Bền chắc, lành tính, không đen viền |
3.000.000 - 5.000.000 |
|
Răng sứ Cercon HT |
Độ trong mờ cao, thẩm mỹ tự nhiên |
6.000.000 - 7.000.000 |
|
Răng sứ Emax |
Đỉnh cao thẩm mỹ cho răng cửa |
7.000.000 - 9.000.000 |
|
Răng sứ Lava Plus |
Độ cứng cực cao, bảo hành dài hạn |
10.000.000 - 12.000.000 |
6. Tại sao nên chọn Nha khoa Quốc tế Việt Smile?
Việc xử lý răng sứ bị hở đòi hỏi bác sĩ có tay nghề cao để không làm hỏng thêm cùi răng thật. Nha khoa Quốc tế Việt Smile tự hào là địa chỉ phục hình răng sứ hàng đầu với:
-
Đội ngũ bác sĩ chuyên môn sâu: Có nhiều năm kinh nghiệm trong việc xử lý các ca răng sứ hỏng phức tạp.
-
Công nghệ lấy dấu 3D hiện đại: Loại bỏ hoàn toàn sai số của phương pháp truyền thống, đảm bảo răng sứ mới khít sát đến từng micromet, triệt tiêu mọi dấu hiệu răng sứ bị hở.
-
Vật liệu sứ chính hãng: Chỉ sử dụng các dòng sứ cao cấp có thẻ bảo hành check code quốc tế, đảm bảo an toàn tuyệt đối cho người sử dụng.
-
Quy trình vô trùng nghiêm ngặt: Đảm bảo an toàn, tránh lây nhiễm chéo trong quá trình điều trị.
7. Cách phòng ngừa tình trạng răng sứ bị hở chân nướu
Để nụ cười bền vững theo thời gian và không còn lo lắng về các dấu hiệu răng sứ bị hở, bạn nên bỏ túi những lưu ý sau:
-
Lựa chọn nha khoa uy tín ngay từ đầu: Đừng vì ham rẻ mà chọn những cơ sở kém chất lượng, dẫn đến "tiền mất tật mang".
-
Ưu tiên răng toàn sứ: Răng toàn sứ có tính tương hợp sinh học cao hơn hẳn răng kim loại, giúp nướu luôn hồng hào và khỏe mạnh.
-
Vệ sinh đúng cách: Sử dụng bàn chải lông mềm, kết hợp chỉ nha khoa, máy tăm nước và nước súc miệng để làm sạch kẽ răng hiệu quả.
-
Khám định kỳ 6 tháng/lần: Để bác sĩ theo dõi tình trạng răng sứ và xử lý ngay nếu có những dấu hiệu lỏng lẻo ban đầu.
Nhận biết sớm các dấu hiệu răng sứ bị hở và xử lý kịp thời là chìa khóa để bảo vệ hàm răng thật và duy trì thẩm mỹ nụ cười. Hãy luôn lắng nghe cơ thể và đừng ngần ngại tìm đến sự hỗ trợ của các chuyên gia nha khoa khi cần thiết.
Nha khoa Quốc tế Việt Smile - Chất lượng tạo niềm tin
-
Địa chỉ: 04 Lê Lợi, Phường, Đồng Hới, Quảng Bình
-
Hotline: 0854 999 907 - 0705 585 999
-
Website: nhakhoaquoctevietsmile.com
- Facebook: Nha Khoa Quốc Tế Việt Smile
LƯU Ý: NHA KHOA QUỐC TẾ VIỆT SMILE CHỈ CÓ MỘT CƠ SỞ DUY NHẤT TẠI TỈNH QUẢNG BÌNH


















