Các Tác Hại Của Răng Sứ Kim Loại Cần Lưu Ý

Bọc răng sứ là giải pháp phục hình thẩm mỹ giúp khắc phục tình trạng răng xỉn màu, răng thưa, khấp khểnh hoặc răng bị hư tổn cấu trúc. Trong đó, răng sứ kim loại là dòng răng sứ ra đời sớm nhất và từng rất phổ biến. Tuy nhiên, theo thời gian, những hạn chế về mặt thẩm mỹ và sức khỏe của dòng sứ này dần lộ rõ. Bài viết dưới đây sẽ phân tích chi tiết về các tác hại của răng sứ kim loại và lý do tại sao nhiều khách hàng hiện nay đang có xu hướng chuyển sang răng toàn sứ tại Nha khoa Quốc tế Việt Smile.
1. Tìm hiểu bản chất của răng sứ kim loại
Răng sứ kim loại là dòng sứ có cấu tạo khung sườn bên trong làm từ hợp kim (Niken – Crom, Crom – Coban, hoặc Titan) và bên ngoài được phủ một lớp sứ mỏng để tạo màu sắc giống răng thật. Mặc dù có khả năng chịu lực tốt, nhưng bản chất kim loại khi tồn tại trong môi trường khoang miệng (nơi thường xuyên tiếp xúc với axit, thức ăn, và nước bọt) sẽ xảy ra các phản ứng hóa học không mong muốn.
Chính cấu tạo "lai" này là nguồn cơn dẫn đến những tác hại của răng sứ kim loại sau một thời gian dài sử dụng, đặc biệt là hiện tượng oxy hóa gây ảnh hưởng trực tiếp đến thẩm mỹ và sức khỏe nướu.

2. Các loại răng sứ kim loại thường gặp
Trước khi đi sâu vào các tác hại của răng sứ kim loại, chúng ta cần phân loại các dòng sứ kim loại phổ biến hiện nay:
-
Răng sứ kim loại thường: Sử dụng hợp kim Ni-Cr hoặc Cr-Co. Đây là loại có chi phí thấp nhất nhưng cũng là loại nhanh bị oxy hóa nhất, dễ gây đen viền nướu chỉ sau 2-3 năm sử dụng.
-
Răng sứ Titan: Khung sườn chứa khoảng 4-6% tinh chất Titanium. Loại này có tính tương thích sinh học cao hơn một chút so với kim loại thường, nhưng về bản chất vẫn là sườn kim loại nên tình trạng đen viền nướu vẫn có thể xảy ra.
-
Răng sứ kim loại quý: Sườn làm từ vàng, bạc hoặc bạch kim. Loại này bền và an toàn nhất trong dòng kim loại nhưng chi phí rất cao, đôi khi đắt hơn cả răng toàn sứ cao cấp.
3. Phân tích chi tiết các tác hại của răng sứ kim loại
Nhiều khách hàng khi mới bọc răng sứ kim loại thường cảm thấy hài lòng vì răng chắc khỏe, ăn nhai tốt. Tuy nhiên, sau 5-7 năm (hoặc sớm hơn tùy cơ địa), các tác hại của răng sứ kim loại bắt đầu xuất hiện rõ rệt:
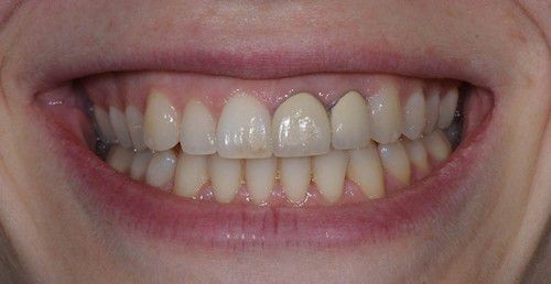
3.1. Hiện tượng đen viền nướu
Đây là nhược điểm chí mạng của dòng răng này. Kim loại trong khung sườn khi tiếp xúc với môi trường axit trong khoang miệng sẽ bị oxy hóa, tiết ra các ion kim loại. Các ion này thấm vào mô nướu, tạo thành một đường viền màu đen hoặc xám xanh quanh cổ chân răng. Điều này không chỉ gây mất thẩm mỹ trầm trọng mà còn khiến nụ cười trông "giả" và kém duyên.

3.2. Nguy cơ kích ứng mô mềm và viêm nướu
Đối với những người có cơ địa nhạy cảm, các thành phần kim loại (đặc biệt là Niken) có thể gây ra phản ứng dị ứng. Các dấu hiệu nhận biết tác hại của răng sứ kim loại trong trường hợp này bao gồm: nướu sưng đỏ, đau nhức dai dẳng, chảy máu khi đánh răng và hơi thở có mùi kim loại khó chịu. Nếu không được xử lý, tình trạng viêm nhiễm có thể lan sâu gây viêm nha chu và hỏng răng trụ thật bên trong.
3.3. Tính thẩm mỹ kém khi có ánh sáng chiếu vào
Răng sứ kim loại có lớp sườn đục, không cho ánh sáng xuyên thấu qua. Khi bạn đứng dưới ánh sáng mạnh hoặc ánh đèn sân khấu, phần sườn kim loại bên trong sẽ ánh lên một bóng đen xám bên dưới lớp sứ. So với răng toàn sứ có độ trong mờ tự nhiên như răng thật, răng sứ kim loại trông thô và không tự nhiên.
3.4. Tuổi thọ thấp và chi phí phát sinh
Tuổi thọ trung bình của răng sứ kim loại chỉ dao động từ 5-8 năm. Sau khoảng thời gian này, do nướu bị đen và mão sứ bị mòn, bệnh nhân bắt buộc phải tháo ra và thay mới. Việc tháo lắp nhiều lần sẽ tác động đến cùi răng thật, gây tốn kém thêm chi phí và thời gian điều trị.
Bạn đang lo lắng về tình trạng đen viền nướu? Liên hệ ngay Hotline của Nha khoa Quốc tế Việt Smile: 0854 999 907 - 0705 585 999 để được tư vấn giải pháp tháo sứ cũ và thay mới an toàn.

4. Tại sao nên chọn Nha khoa Quốc tế Việt Smile để khắc phục tác hại của răng sứ kim loại?
Việc xử lý các tác hại của răng sứ kim loại đòi hỏi bác sĩ có tay nghề cao và thiết bị hiện đại để không làm tổn thương cùi răng thật khi tháo mão sứ cũ. Nha khoa Quốc tế Việt Smile tự hào là địa chỉ uy tín được hàng ngàn khách hàng tin tưởng nhờ:
Đội ngũ bác sĩ chuyên môn cao
Các bác sĩ tại Việt Smile có kinh nghiệm dày dặn trong việc phục hình răng sứ thẩm mỹ. Quy trình tháo sứ cũ được thực hiện tỉ mỉ, giúp bảo tồn tối đa cấu trúc răng thật và điều trị dứt điểm các bệnh lý nướu do kim loại gây ra.
Công nghệ bọc sứ hiện đại
Chúng tôi áp dụng công nghệ thiết kế nụ cười 3D, giúp khách hàng xem trước kết quả. Việc lấy dấu răng được thực hiện bằng máy quét kỹ thuật số, đảm bảo mão sứ mới khít sát tuyệt đối, ngăn chặn tình trạng giắt thức ăn và vi khuẩn xâm nhập.
Dòng sứ toàn sứ chính hãng
Để khắc phục hoàn toàn các tác hại của răng sứ kim loại, Việt Smile cung cấp các dòng răng toàn sứ cao cấp như Zirconia, Cercon, Emax, Lava... Đây là những dòng sứ không chứa kim loại, bền chắc gấp 5-10 lần răng thật và có độ thẩm mỹ hoàn hảo.

5. Bảng giá tham khảo dịch vụ răng sứ
Dưới đây là thông tin về các dòng răng sứ để khách hàng có sự so sánh. Tuy nhiên, lưu ý rằng đây chỉ là bảng giá tham khảo. Để biết chính xác giá và các chương trình ưu đãi hiện tại, quý khách vui lòng liên hệ đến Hotline 0854 999 907 - 0705 585 999 để được bác sĩ thăm khám và tư vấn chi tiết hơn về dịch vụ phù hợp với tình trạng răng miệng thực tế của mình.
|
Loại răng sứ |
Ưu điểm |
Hạn chế |
|
Răng sứ Kim loại |
Chi phí thấp, chịu lực tốt |
Đen viền nướu, oxy hóa, thẩm mỹ kém |
|
Răng toàn sứ Zirconia |
Bền, thẩm mỹ tốt, giá hợp lý |
Độ trong mờ ở mức trung bình |
|
Răng toàn sứ Emax |
Thẩm mỹ xuất sắc, trong như răng thật |
Chi phí cao hơn dòng Zirconia |
|
Răng sứ Lava Plus |
Độ cứng cực cao, chống mòn tốt |
Là dòng sứ cao cấp nhất |
6. Quy trình thay răng sứ mới tại Nha khoa Quốc tế Việt Smile
Để đảm bảo an toàn và giải quyết triệt để các tác hại của răng sứ kim loại, quy trình tại Việt Smile được thực hiện theo các bước chuẩn Y khoa:
-
Thăm khám và chụp X-quang: Bác sĩ kiểm tra tình trạng răng trụ, mức độ đen viền nướu và các bệnh lý quanh chân răng.
-
Tháo bỏ mão sứ kim loại cũ: Sử dụng thiết bị chuyên dụng để cắt bỏ lớp sứ cũ một cách nhẹ nhàng, không gây đau buốt hay tổn thương cùi răng.
-
Điều trị nướu và cùi răng: Nếu nướu bị viêm hoặc cùi răng có dấu hiệu sâu, bác sĩ sẽ tiến hành điều trị dứt điểm trước khi bọc lại.
-
Lấy dấu răng và gắn răng tạm: Khách hàng được gắn răng nhựa tạm thời để đảm bảo thẩm mỹ và ăn nhai trong thời gian chờ chế tác răng mới.
-
Lắp răng toàn sứ mới: Bác sĩ điều chỉnh khớp cắn và màu sắc sao cho tự nhiên nhất trước khi gắn cố định bằng keo chuyên dụng.
7. Những câu hỏi thường gặp
Hỏi: Tháo răng sứ kim loại ra làm lại có đau không? Trả lời: Tại Việt Smile, quy trình này hoàn toàn không đau nhờ kỹ thuật gây tê cục bộ hiện đại. Sau khi tháo, bạn có thể cảm thấy ê buốt nhẹ trong vài giờ nhưng sẽ nhanh chóng hết.
Hỏi: Nên bọc loại sứ nào để không bao giờ bị đen viền nướu? Trả lời: Để tránh hoàn toàn các tác hại của răng sứ kim loại, bạn nên chọn các dòng răng toàn sứ. Vì không có sườn kim loại nên răng toàn sứ sẽ không bị oxy hóa và luôn giữ được màu sắc trắng sáng theo thời gian.
Những tác hại của răng sứ kim loại là điều khó tránh khỏi sau một thời gian dài sử dụng. Tuy nhiên, với sự phát triển của nha khoa hiện đại, bạn hoàn toàn có thể khắc phục tình trạng này để lấy lại nụ cười rạng rỡ. Nha khoa Quốc tế Việt Smile luôn sẵn sàng đồng hành cùng bạn trong hành trình chăm sóc và tái tạo nụ cười.
Nếu bạn đang gặp phải tình trạng đen viền nướu, hôi miệng hoặc đau nhức sau khi bọc sứ, đừng ngần ngại liên hệ với chúng tôi.
Nha khoa Quốc tế Việt Smile - Chất lượng tạo niềm tin
-
Địa chỉ: 04 Lê Lợi, Phường, Đồng Hới, Quảng Bình
-
Hotline: 0854 999 907 - 0705 585 999
-
Website: nhakhoaquoctevietsmile.com
- Facebook: Nha Khoa Quốc Tế Việt Smile
LƯU Ý: NHA KHOA QUỐC TẾ VIỆT SMILE CHỈ CÓ MỘT CƠ SỞ DUY NHẤT TẠI TỈNH QUẢNG BÌNH


















